

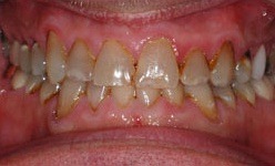
Dr. Barge has completed countless hours of continuing education and advanced training in cosmetic dentistry to be able to offer the latest, most transformative cosmetic treatments. She believes that every patient deserves an impressive and beautiful smile that they feel proud to let show, which is why she puts time, consideration, and thoughtfulness into every custom-tailored procedure she conducts. You can view some of the real-life treatment results that she has achieved by scrolling through our smile gallery.
About Us Meet Dr. Barge Tour Our Dental Office Community Involvement Advanced Safety Protocols Advanced Dental Technology View All Our Services